Gum disease is a common oral health problem that impacts one out of two adults in the United States, according to data collected by the Centers for Disease Control and Prevention. Gum disease begins with bacterial growth in your mouth, which, left unchecked, can ultimately lead to tooth loss. We closely monitor all signs and symptoms of gum disease at each of your semi-annual checkups. This way, we can increase the chances of diagnosing and treating it early before it causes permanent damage to your smile.

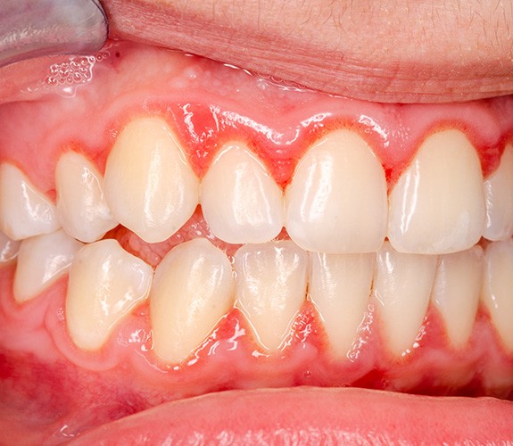
Gum disease is an attack on the soft oral tissues that surround and hold your teeth in place. When bacteria accumulate on teeth and around the gumline, these tissues become infected and begin to bleed. Inflammation and tenderness are also likely, as well as gum pockets, bone loss, and loose teeth if it’s allowed to spread.

It’s important not to ignore the signs of gum disease. Instead, if you notice any of the following symptoms, call to schedule an appointment with our in-house periodontist right away:

Treating gum disease requires that our Grand Dental – Aurora team evaluate your situation and determine the severity of your gum disease. If possible, we will perform a deep cleaning with scaling and root planing. We may also suggest laser periodontal therapy, if necessary.
Scaling and root planing is a deep cleaning below the gum line that helps reduce the presence of harmful oral bacteria in your mouth. First, your hygienist will remove all plaque and tartar from the surface of your teeth, as far as the depth of the pockets of your gums. Then, we will smooth out the roots of your teeth, allowing your gums to heal and reattach. Our goal with this procedure is to reverse the symptoms of gum disease and restore your oral health to its optimal state.

We use soft tissue laser gum therapy to reduce the overall bacterial load in your mouth. This special instrument uses a concentrated beam of light to remove oral tissue without the need for sutures. It cauterizes the area on contact, eliminating bleeding and reducing the recovery time and risk of infection.
Laser therapy also halts the development of cold sores when treatment is applied at the first signs of development. The laser energy destroys the virus that causes the painful and unsightly outbreaks.
When complex care is necessary to ensure the continuing health and confidence of your gum tissue, rest assured that our team is more than up to the task. Our in-house periodontists have the advanced training necessary to perform cosmetic surgery, gum grafting, surgical dental implant placement, and more in a safe environment – eliminating the need for travel. We take pride in combining reliable quality with much-needed convenience!
Gum disease in Aurora is a serious oral health problem that plagues millions of people in the United States. Without proper treatment, unhealthy oral bacteria can destroy bone, tooth enamel, and soft oral tissues as well as contribute to the development of heart disease, negative cognitive decline, and other serious health conditions. This is why our team is committed to providing transparent answers to some of the most frequently asked questions.
No, not all gum disease treatments are surgical. However, some instances may require surgery. Scaling and root planing is a non-surgical method of treatment that effectively removes bad oral bacteria and plaque buildup; however, if the severity of the disease is causing additional damage to the oral anatomy, it may be necessary to implement advanced periodontal procedures to ensure better health.
It is unlikely that the disease itself is contagious; however, the bacteria that cause periodontal disease can be transmitted via saliva. If family members share oral hygiene tools or eating utensils, one person can contract bad oral bacteria from the other, who may have gum disease. If an individual has tender, red, bleeding, or inflamed gum tissue, it is recommended that they see a periodontist in Aurora right away.
Many general dentists offer periodontal treatment; however, a trusted periodontist is better equipped to provide accurate results. Even when a specialist is involved, a general dentist must be part of the process to ensure everyone is knowledgeable and aware of the situation. A periodontist has more extensive training and experience in treating gum disease, and they can tailor a treatment plan based on an individual’s needs.
Yes. Bleeding gums are only one symptom of periodontal disease. Inflammation, tenderness, bad breath, receding gums, and a problem with a person’s bite are also possible problems that can develop and signal an issue with an individual’s gum tissue. The only way to receive a formal diagnosis is to schedule a consultation with a periodontist in Aurora. It is during this appointment that the individual will undergo a thorough examination and receive a personalized treatment plan that designates the severity of the bacterial accumulation as well as the type of treatment recommended for better oral health.
Yes, if you have gingivitis, which is the initial stage, you can reverse periodontal disease. This is only possible if you commit to good at-home oral care and frequent professional cleanings from our Grand Dental – Aurora team. Removing plaque and tartar from teeth and gums to stop inflammation is the ultimate goal.
If it advances to a more serious state, reversal is no longer possible. Instead, it becomes about minimizing the damage that is caused to your teeth and bone.
Each patient is different, so the duration of the disease cannot be determined until the individual is properly examined. Much of this depends on the stage of periodontal disease they are in and when treatment began. If caught in its earliest stages, it may only take a few weeks to manage the problem and develop positive oral hygiene habits.
However, if the disease spreads, it may take months of rigorous care and attention to begin positively impacting your oral health.
You will need to develop a positive oral hygiene routine and healthy habits, which include:
This depends on the severity of your situation. What is most important to remember is that the faster you identify and treat your gum disease, the less likely you’ll be to lose your teeth over time.
I Need a Checkup & Cleaning I Need a Dentist for My Child I Have a Cavity or Broken Tooth I am Missing One or More Teeth I am in Pain & Need Help I Want to Enhance My Smile I Want a Straighter Smile I am Concerned About Bleeding Gums I Want to Learn About Sleep Apnea View Our Services